A Brief Overview of Down Syndrome
Chances are, we all have had some sort of interaction with someone with Down syndrome. That may include seeing an actor with Down syndrome on a T.V. show or movie ( Peanut Butter Falcon , anyone?!),...
Chances are, we all have had some sort of interaction with someone with Down syndrome. That may include seeing an actor with Down syndrome on a T.V. show or movie (Peanut Butter Falcon, anyone?!), knowing someone at school, seeing someone in public, or having a family member with Down syndrome.
What is Down Syndrome?
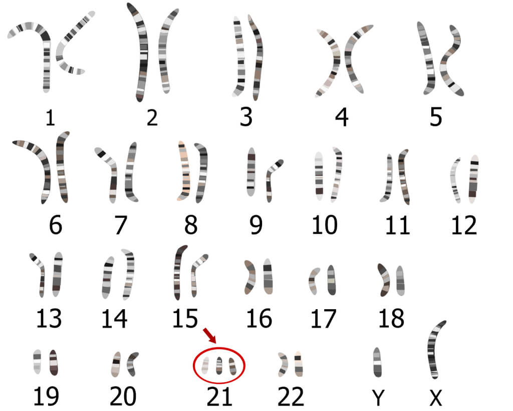
Within every person that walks on this earth, there are billions of cells that hold information about that individual. This information is ‘DNA,’ and within that DNA there are chromosomes that hold genetic information such as, eye color, gender, hair color, whether or not a person can roll her/his tongue, etc. Most babies receive 23 chromosomes from their mom, and 23 chromosomes from their dad. Individuals with Down syndrome receive an extra 21st chromosome, meaning they have a third copy of the 21st chromosome, rather than just two.
https://www.youtube.com/watch?v=ze_6VWwLtOE
Down syndrome has been alluded to in art for centuries, but John Langdon Down, a British physician, was the first to publish scholarly work about Down syndrome in 1866. His work was the first to describe it as a distinct entity and earned him the title of “father” of the syndrome. They ultimately named the syndrome after him, too.
How Common is It?
According to the CDC, about 6,000 babies are born with Down syndrome in the United States each year. That equates to about every 1 in 700 babies born with the condition.
There Are Three Types
- Nondisjunction: This is when there is an error in cell division that results in a third copy of the 21st chromosome. Nondisjunction accounts for more than 95% of Down syndrome cases. This failure in separation usually occurs in either the egg or the sperm before conception. It results in the embryo developing with the third copy in every cell of her or his body.
- Mosaicism: This occurs when there is a combination of cells with only 46 chromosomes and cells that contain 47 chromosomes. This is the least common type, accounting for only 1% of the Down syndrome population.
- Translocation: This is when the cells contain 46 chromosomes, but a third copy, or partial copy, of the 21st chromosome, attaches to another chromosome. Translocation accounts for about 4% of Down syndrome cases.

What Causes Down Syndrome?
In every type, the presence of an extra copy of the 21st chromosome results in the characteristics of Down syndrome. The reason for this extra copy is still unknown. The only factor linked to having an increased chance of having a child with Down syndrome is the mother’s age. Nevertheless, more than 80% of babies born with it have been to women under the age of 35-years-old.
There is no research that says environmental factors, prior to, during, or after pregnancy, increase the chance of a baby being born with Down syndrome. At this point in time, its cause seems to be pure luck.

Is there a Genetic link?
The short answer is, no. The only type of Down syndrome that seems to have a slight genetic connection is Translocation. In all other cases, the hereditary link is less than 1%.
How is Down Syndrome Diagnosed?
Prenatally:
There are a series of non-invasive, prenatal tests that can be performed in the first trimester to determine markers of Down syndrome. These tests cannot definitively tell whether or not a fetus has it. Usually, if there are significant markers, doctors will recommend more invasive tests called ‘chorionic villus sampling (CVS) and amniocentesis.’ These tests carry about a 1% chance of spontaneous miscarriage but provide more accurate information.
Doctors usually perform the CVS in the first trimester, and the amniocentesis can be done in the second. There’s a lot of debate in the Down syndrome community about prenatal testing. More specifically, about testing related to the information parents receive from doctors if the tests are positive. About 75-90% of prenatal diagnoses in the United States result in a termination of the pregnancy because of medical professionals’ advice. The Down syndrome community is trying to change the perception around diagnoses for Down syndrome.
At Birth:
Usually, babies born with Down syndrome display physical characteristics that indicate the condition. These can include but are not limited to nor seen in all babies: low muscle tone, a single crease on the palm of one hand, a slightly flattened facial profile, a larger gap between the big toe and the second toe, and an upward slant to the eyes. If a doctor suspects Down syndrome based on the physical examination, (s)he will then perform a gene test called a ‘karyotype’ to confirm the presence of the extra 21st chromosome. The doctor does this by drawing and analyzing the baby’s blood.
Our Story
We had a completely normal pregnancy and non-medicated birth with our second son. I was 27-years-old at the time of his birth, with no complications. His initial exam after he was born went without a hiccup.
The nurses wheeled us into our postpartum recovery room for the night. The nurses came to do his more in-depth physical exam around 4 am. When I woke up at 5 am, he had still not returned. I called in the nurse, who informed me that he was unable to maintain his oxygen levels on his own. He was transferred to the NICU. Over the next day, we were given the runaround by his NICU doctor as to why he was unable to maintain his oxygen levels.
Finally, on the second day, the doctor informed us that he had physical markers of Down Syndrome. But, he did not specify what those markers were. He followed that with the news that they had sent his blood to be tested for Trisomy 21. We now know the main reason he was unable to maintain his oxygen levels was a combination of low muscle tone and small holes in his heart. These both closed on their own by 4 weeks (about 60% of babies with Down syndrome have heart defects).
We were a bit confused, but after much discussion, we were excited about this new adventure. After two weeks in the NICU, we were able to take our baby home and jump into the wonderful world of Down syndrome.
Debunking Myths
Two of the myths we were concerned about after receiving his diagnosis, were whether or not he would die young, and if he would be able to be an active participant in our community.
We learned that people with Down syndrome, thanks to medical advancements in understanding this condition and advocates for inclusion in the Down syndrome community, can live well into their 60s and 70s, obtain meaningful jobs, talk, run, play, learn alongside peers, and be active citizens in their communities and live full, meaningful lives.
With early intervention, implementation of speech (including the use of the Speech Blubs app to supplement his therapies at home), occupational, and physical therapies as needed, and our active participation in these therapies, we have seen, first hand, our son soar!
Por Kelli Green